Flat Epithelial Atypia (FEA)
By: Dan Li, MD and Mollie Rashid, MD
Introduction
Flat epithelial atypia (FEA) is one of several high-risk lesions that can occur in the breast and may require surgical management. High-risk lesions are findings that either have upgrade potential to malignancy (“pre-cancerous” lesions) or indicate an increased lifetime risk for breast cancer.
The terminal duct lobular units are formed by a lining of intraluminal cells that are typically cuboid. These cells can be replaced by atypical cuboid or columnar cells, which results in a group of entities classified as columnar cell changes. This spectrum from least to most pathological is as follows: columnar cell change, columnar cell hyperplasia, flat epithelial atypia, atypical ductal hyperplasia, ductal carcinoma in situ, and finally, invasive ductal carcinoma.1
Pathology
FEA is characterized by proliferation of monotonous cells, resulting in replacement of the normal single cuboidal layer with atypical cuboidal to columnar cells that can stack in three to five layers.1 These atypical cells demonstrate hyperchromatic and enlarged nuclei with increased nuclear-to cytoplasm ratio. Flat epithelial atypia is so named because the lesion there is no intraluminal proliferation, resulting in a “flat” appearance.1 Once intraluminal proliferation is present, then the lesion has progressed to atypical ductal hyperplasia.
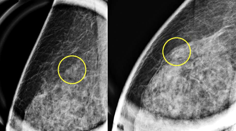
Imaging Appearance
The imaging appearance of FEA, as with other columnar cell changes, is non-specific. The most common presentation is grouped, amorphous calcifications on mammography.1,2 Likewise, the ultrasound appearance is non-specific, but it most often presents as irregular mass.2 The MRI appearance of FEA is not well-established and is also likely non-specific.1,2


Management
The management of flat epithelial atypia has evolved over time and remains varied in practice. As with ADH, surgical excision has been the traditional management for FEA and may be recommended depending on the clinical scenario.3 The upgrade rate of FEA (the chance of progression along the columnar cell change spectrum to more worrisome lesions) is between 5% and 11.1% on three recent high quality meta-analyses.1 Factors that may reduce the risk of upgrade or re-classification include smaller areas of calcifications, more complete removal post vacuum-assisted biopsy, and lower risk personal history.1 These factors should be considered in conjunction with the patient and patient’s surgeon when deciding on whether to excise or observe FEA following histologic diagnosis.
References
- Harper LK, Carnahan MB, Bhatt AA, Simmons CL, Patel BK, Downs E, Pockaj BA, Yancey K, Eversman SE, Sharpe RE Jr. "Imaging Characteristics of and Multidisciplinary Management Considerations for Atypical Ductal Hyperplasia and Flat Epithelial Atypia: Review of Current Literature." Radiographics. 2023 Oct;43(10):e230016. DOI: 10.1148/rg.230016. PMID: 37768862.
- Solorzano S, Mesurolle B, Omeroglu A, El Khoury M, Kao E, Aldis A, Meterissian S. "Flat Epithelial Atypia of the Breast: Pathological-radiological Correlation." AJR Am J Roentgenol. 2011 Sep;197(3):740-6. DOI: 10.2214/AJR.10.5265. PMID: 21862819.
- Said SM, Visscher DW, Nassar A, Frank RD, Vierkant RA, Frost MH, Ghosh K, Radisky DC, Hartmann LC, Degnim AC. "Flat Epithelial Atypia and Risk of Breast Cancer: A Mayo Cohort Study." Cancer. 2015 May 15;121(10):1548-55. DOI: 10.1002/cncr.29243. Epub 2015 Jan 13. PMID: 25639678; PMCID: PMC4424157.