Case: Sarcoma
by Jeff Rosenthal, MD and James Chalfant, MD
Introduction and demographics
Breast sarcomas are a heterogenous group of aggressive malignancies that arise from the connective mesenchymal tissue and supporting periductal stroma. Breast sarcomas are extremely rare, with limited data suggesting that these tumors represent less than 1% of breast malignancies and less than 5% of soft tissue sarcomas1. The mean age at presentation has been reported as between 45-50 years old and only 1-2% of breast sarcomas occur in men2.
Risk factors and clinical presentation
The most common clinical presentation of breast sarcoma is a unilateral, solitary, painless, palpable lump. Rapid growth is a commonly reported feature. Unlike other types of breast cancer, sarcomas rarely present with skin thickening, palpable lymph nodes, or nipple discharge. The angiosarcoma subtype may induce a characteristic bluish skin discoloration3.
While the development of primary breast sarcoma may be sporadic, risk factors include genetic mutations such as Li-Fraumeni syndrome and environmental factors including herbicides and arsenic exposure1,2. Secondary breast sarcomas characteristically arise within an irradiated region, predominantly in the setting of prior breast or thoracic malignancy, and following mantle radiation for Hodgkin lymphoma.
Imaging features
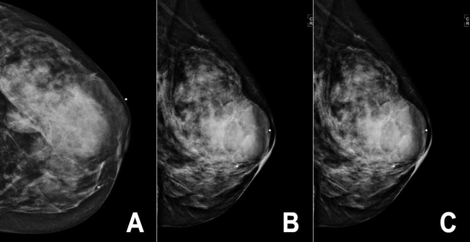
Mammography
There are no pathognomonic imaging features for breast sarcoma on any imaging modality and imaging findings are widely variable. Mammographically, breast sarcomas are described as round, oval, or irregular masses with microlobulated or indistinct margins3. They demonstrate high density compared to the surrounding breast fibroglandular tissue (Figure 1). A less common mammographic finding is architectural distortion, and there are infrequently associated microcalcifications. In fact, the lack of microcalcifications may serve as a clue to include sarcoma in the differential diagnosis1,4.

Ultrasound
As with mammography, the sonographic appearance of breast sarcoma is nonspecific. Breast sarcomas may be oval, hypoechoic or mixed echogenicity masses with microlobular or indistinct margins. They often demonstrate internal vascularity and posterior acoustic shadowing4 (Figure 2).

MRI
MRI is the most sensitive imaging modality for diagnosing breast sarcomas5. On MRI, breast sarcomas are usually round or irregular masses that are minimally hyperintense on T2-weighted images and heterogeneously hypointense on T1-weighted images (possibly due to necrosis)1. Kinetics demonstrate initial rapid enhancement with plateau or washout curves.
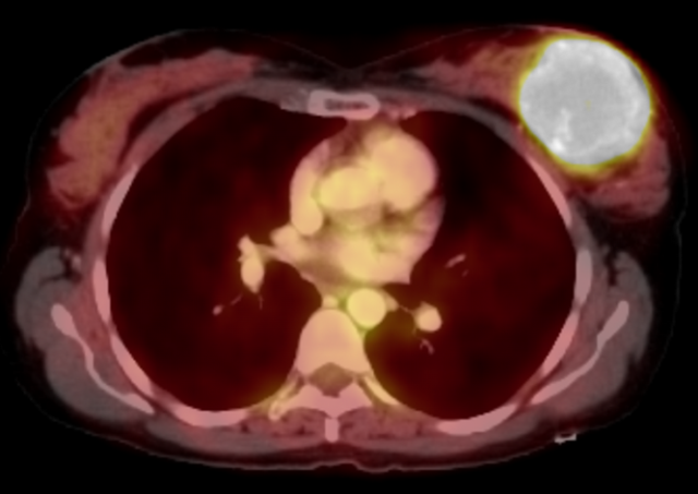
PET/CT
While PET/CT is more likely used to evaluate extent of disease in a patient with a known diagnosis, breast sarcomas may demonstrate avid FDG uptake6. (Figure 3).

Pathology
Core needle biopsy is essential as management of breast sarcoma depends on the histologic subtype. The most common subtypes are angiosarcoma and pleomorphic sarcoma; additional subtypes include liposarcoma, rhabdomyosarcoma, fibrosarcoma and leiomyosarcoma6. In additional to histology, immunohistochemistry characteristically demonstrates a lack of reactivity for cytokeratin and myoepithelial markers, unlike breast carcinoma7.
Prognosis and treatment
The five-year survival rate of breast sarcoma is not well defined in the literature and has been reported as between 14-91%. A negative prognostic factor is tumor size greater than 5 cm in diameter1. Any diagnosis of breast sarcoma should prompt a contrast-enhanced CT or MRI as breast sarcomas spread hematogenously and lung metastases are common; nodal involvement is rare2.
Due to the rarity of both primary and secondary breast sarcomas, the clinical management is guided by a small number of retrospective studies and case reports as well as data extracted from other types of soft tissue sarcoma. The standard of care is surgical resection with notably wider margins than breast carcinoma7. Breast conserving excision or mastectomy may be performed depending on tumor size and grade. Limited data on radiotherapy and chemotherapy demonstrate that one or both may have a role in improving local control and treating metastatic disease.
References:
- Matsumoto RAEK, Hsieh SJK, Chala LF, de Mello GGN, de Barros N. "Sarcomas of the Breast: Findings on Mammography, Ultrasound, and Magnetic Resonance Imaging." Radiol Bras. 2018 Nov-Dec;51(6):401-406. doi: 10.1590/0100-3984.2016.0141. PMID: 30559558; PMCID: PMC6290740.
- Esperança-Martins M, Melo-Alvim C, Dâmaso S, Lopes-Brás R, Peniche T, Nogueira-Costa G, Abreu C, Luna Pais H, de Sousa RT, Torres S, Gallego-Paez LM, Martins M, Ribeiro L, Costa L. "Breast Sarcomas, Phyllodes Tumors, and Desmoid Tumors: Turning the Magnifying Glass on Rare and Aggressive Entities." Cancers (Basel). 2023 Aug 2;15(15):3933. doi: 10.3390/cancers15153933. PMID: 37568749; PMCID: PMC10416994.
- Surov A, Holzhausen HJ, Ruschke K, Spielmann RP. "Primary Breast Sarcoma: Prevalence, Clinical Signs, and Radiological Features." Acta Radiol. 2011 Jul 1;52(6):597-601. doi: 10.1258/ar.2011.100468. Epub 2011 May 12. PMID: 21565891.
- Wienbeck S, Meyer HJ, Herzog A, Nemat S, Teifke A, Heindel W, Schäfer F, Kinner S, Müller-Schimpfle M, Surov A. "Imaging Findings of Primary Breast Sarcoma: Results of a First Multicenter Study." Eur J Radiol. 2017 Mar;88:1-7. doi: 10.1016/j.ejrad.2016.12.020. Epub 2016 Dec 21. PMID: 28189193.
- Tang C, Zhan C, Qin Y, Hu Q, Ai T. "Primary Angiosarcoma of the Breast: Two Case Reports and Brief Review of the Literature." Radiol Case Rep. 2023 Feb 26;18(5):1671-1675. doi: 10.1016/j.radcr.2023.01.092. PMID: 36873041; PMCID: PMC9982441.
- Hsu C, McCloskey SA, Peddi PF. "Management of Breast Sarcoma." Surg Clin North Am. 2016 Oct;96(5):1047-58. doi: 10.1016/j.suc.2016.05.004. PMID: 27542642.
- Duncan MA, Lautner MA. "Sarcomas of the Breast." Surg Clin North Am. 2018 Aug;98(4):869-876. doi: 10.1016/j.suc.2018.03.013. Epub 2018 May 21. PMID: 30005780.