Case: Skin Retraction, Skin Thickening, and Nipple Retraction/Inversion: Imaging Appearance and Clinical Significance in Breast Cancer
By Malik Sana, MD and Daniel Bradley, MD
Introduction
Breast cancer can present with a variety of clinical exam findings and radiological signs, including skin retraction, skin thickening, and nipple retraction/inversion. These findings are significant as they may indicate the presence of an underlying malignancy and potential skin involvement. This article explores these radiologic findings and their appearance on mammography, ultrasound, and MRI.
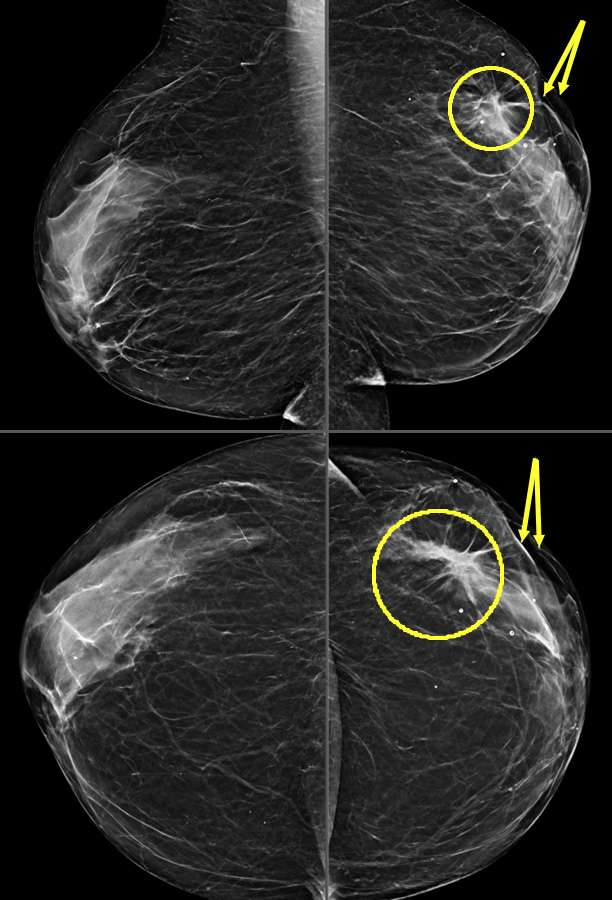
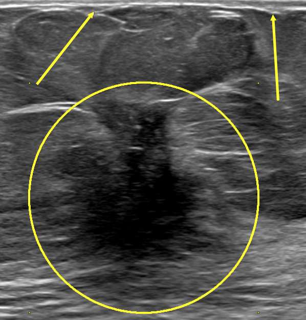
Skin Retraction
Skin retraction refers to the inward pulling of the breast skin. If a patient has had prior breast surgery, this may be a normal post-surgical finding. However, any new or worsening skin retraction should be regarded with suspicion as this finding may be secondary to underlying tumor growth. Skin retraction is often visible on physical examination which should prompt further evaluation with dedicated imaging of the breast.
Radiologic Findings:
- Mammography: Skin retraction may be noted as an irregular, pulled appearance of the skin. An underlying mass may or may not be mammographically visible.
- Ultrasound: May further reveal distortion in the skin layers but is most helpful in further evaluating the presence of an underlying mass causing the retraction.
MRI: Provides detailed images demonstrating the extent of skin involvement and characteristics of a potential underlying malignancy.


Nipple Retraction and Inversion
Nipple retraction or inversion can be a benign variant of normal nipple anatomy where the nipple lays flat or points inward instead of outwards. However, if this is a new finding rather than a long-standing finding, prompt imaging evaluation should be performed to exclude an underlying malignancy.
Radiologic Findings:
- Mammography: Demonstrates a nipple that lays flat or points inwards rather than protruding outward. Sometimes, a mass can be seen in the subareolar area causing the nipple inversion.
- Ultrasound: The nipple/subareolar area is difficult to evaluate on ultrasound because of the dark shadowing typically seen in this area. However, despite the difficulty of visualizing this area, sometimes masses may be seen. Additionally, ultrasound is helpful in evaluating for potential lymph node involvement in the setting of malignancy.
- MRI: Provides generally provides excellent visualization of the nipple and the breast tissue in the subareolar area to evaluate for potential abnormal pathology and extension into the duct system.



Skin Thickening
Skin thickening (greater than 2 mm) can be seen in a variety of benign conditions such as recent surgery, radiation, and volume overload states (for example congestive heart failure). However, skin thickening may also be seen when breast malignancy spreads to the lymphatic system.
Radiologic Findings:
- Mammography: Can demonstrate skin and trabecular thickening or overall increased breast density.
- Ultrasound: Provides a clear visualization of the thickness of the skin which can be easily measured and may be useful for evaluating for an underlying mass.
- MRI: Helpful in assessing the extent of skin involvement and distinguishing between benign and malignant causes of skin thickening and assessing for underlying malignancies.


Clinical Correlation
The presence of skin retraction, skin thickening, and nipple retraction/inversion are important in diagnosing and staging breast cancer. These findings may correlate with more advanced disease stages and require further investigation to determine the extent of cancer spread and appropriate treatment options.
References:
- American Cancer Society. (2022). Breast Cancer Detection and Diagnosis. Retrieved from American Cancer Society
- Breastcancer.org. (2023). Breast Cancer Imaging Tests. Retrieved from Breastcancer.org
- Radiological Society of North America. (2023). Breast Imaging: Techniques and Findings. Retrieved from RSNA