Drainage Percutaneous
Find your care
Our board-certified physicians diagnose and treat many vascular conditions. Call 310-481-7545 to learn more about interventional radiology services.
Treatment for:
Fluid collections
Why it’s done:
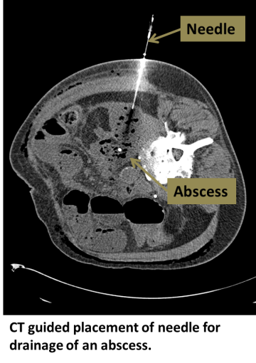
Abnormal fluid collections can be due to infection (abscess), lymphatic damage (lymphocele), leakage of serous fluid, bile or urine (seroma, biloma or urinoma), among other causes. These fluid collections often require drainage for definitive treatment.
How it’s done:
An interventional radiologist uses ultrasound or CT guidance to place a drain into the abnormal collection.


Level of anesthesia:
Conscious sedation
Risks:
Bleeding, infection, damage to surrounding structures
Post-procedure:
One to two hours of bed rest
Follow-up:
Drain output should be monitored, and the drain can usually be removed once symptoms have resolved and drainage has significantly slowed. Drains may require intermittent flushing, depending on the clinical situation.
For More Information:
For more information or to schedule an appointment with one of our IR physicians, please call 310-481-7545.