Biopsy Percutaneous
Find your care
Our board-certified physicians diagnose and treat many vascular conditions. Call 310-481-7545 to learn more about interventional radiology services.
Treatment for:
Diagnosis of disease
Why it’s done:
Definitive diagnosis of disease often requires obtaining a sample of the tissue of interest for pathologic examination.
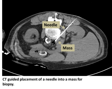
How it’s done:
An interventional radiologist uses CT or ultrasound to pass an introducer needle into the tissue of interest. Once position is confirmed, a biopsy needle is passed through the introducer needle and used to take samples until adequate tissue is obtained.

Level of anesthesia:
Conscious sedation or local anesthesia only
Risks:
Bleeding, infection, and damage to intervening structures
Post-procedure:
One to four hours of bed rest, depending on the site of biopsy
Follow-up:
With referring physician
For More Information:
For more information or to schedule an appointment with one of our IR physicians, please call 310-481-7545.