Abdominal Aortic Aneurysm
Find your care
Our board-certified physicians diagnose and treat many vascular conditions. Call 310-481-7545 to learn more about interventional radiology services.
Why it’s done
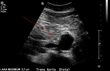
Abdominal aortic aneurysm (AAA) is an enlargement of the aorta, which can be detected by a screening ultrasound examination. Abdominal aortic aneurysms can be commonly asymptomatic and can be silently unnoticed for many years. Continued growth beyond a certain size carries risk of fatal rupture which is a life-threatening medical emergency. Early detection with a AAA screening ultrasound has been linked to lower rates of rupture and deaths.
You risk of AAA is increased if you:
- are male
- over 65 years
- are currently smoking or have previously smoked
- have a family member with an abdominal aortic aneurysm
The following organizations recommend Abdominal Aortic Aneurysm screening by ultrasound:
United States Preventative Services Task Force 1
- Recommend one-time screening for AAA with ultrasonography in men ages 65 to 75 years who have ever smoked (class B recommendation)
- Recommend selective screening for AAA with ultrasonography in men ages 65 to 75 years who have never smoked (class C recommendation)
American Heart Association/ American College of Cardiology 2
- Recommend one-time screening for AAA with physical examination and ultrasonography in men ages 65 to 75 years who have ever smoked or in men age 60 years or older who are the sibling or offspring of a person with AAA
Society of Vascular Surgery 3
- Recommend one-time ultrasonography screening for AAA in men age 55 years or older with a family history of AAA, all men age 65 years or older, and women age 65 years or older who have smoked or have a family history of AAA
How Abdominal Aortic Aneurysm Screening is done
A quick, painless, noninvasive ultrasound examination of the abdomen detects if the diameter of the abdominal aorta is greater than 3.0 cm.

Level of anesthesia
None
Risks
None
Post-procedure
No recovery period or activity restrictions after an abdominal aortic aneurysm ultrasound.
Follow-up
If a AAA is detected by your screening ultrasound examination, your primary care doctor will be notified. We also can provide advanced imaging of the aorta and blood vessels using CT and MR and referral for endovascular or surgical consultation, as needed.
For More Information:
For more information or to schedule an appointment, please visit the contact us page.
References:
- Guirguis-Blake, Janelle M, et al. “Primary Care Screening for Abdominal Aortic Aneurysm.” National Center for Biotechnology Information, U.S. National Library of Medicine, https://www.ncbi.nlm.nih.gov/books/NBK184793/.
- “Abdominal Aortic Aneurysm: Screening.” US Preventive Services Task Force, June 2014, https://www.uspreventiveservicestaskforce.org/Page/Document/UpdateSummaryFinal/abdominal-aortic-aneurysm-screening.
- Hirsch, Alan T., et al. “ACC/AHA 2005 Practice Guidelines for the Management of Patients With Peripheral Arterial Disease (Lower Extremity, Renal, Mesenteric, and Abdominal Aortic).” Circulation, vol. 113, no. 11, 2006, pp. e463–654., doi:10.1161/circulationaha.106.174526.
- Chaikof, Elliot L., et al. “The Care of Patients with an Abdominal Aortic Aneurysm: The Society for Vascular Surgery Practice Guidelines.” Journal of Vascular Surgery, vol. 50, no. 4, 2009, pp. S2–49., doi:10.1016/j.jvs.2009.07.002.