Prostate Artery Embolization
Find your care
Our radiologists lead the way in prostate imaging. We offer the newest techniques to better detect and stage prostate cancer. Call 310-481-7545 to find out more about prostate imaging and treatment options.
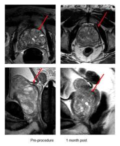
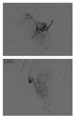
Prostate artery embolization, or PAE, is a non-surgical procedure that can improve lower urinary tract symptoms by blocking the blood flow to the prostate, thereby reducing the size of the prostate. It is performed by an Interventional Radiologist (IR), who is a specialist physician that uses X-rays and other imaging modalities to see in the body and treat diseases without surgery.

How is PAE performed?
PAE is performed with local anesthesia and mild ‘twilight’ sedation and is generally an outpatient procedure, meaning the patient will go home after the procedure. Our IR physicians will insert a small catheter (which is a thin hollow tube) into the artery of the patient’s upper thigh or wrist, and with the use of X-rays guide the catheter to the arteries supplying the enlarged prostate. Tiny particles are then injected through the catheter into the prostate arteries, reducing the blood supply. This in turn shrinks the prostate gland, which alleviates the benign prostatic hyperplasia (BPH) symptoms.

What happens after the PAE procedure?
Patients generally go home the same day. In most cases, relief begins to occur within a week, as the prostate starts to shrink, relieving the pressure on the urethra and improving lower urinary tract symptoms.
What are the benefits of PAE?

Compared with surgical procedures such as open prostatectomy and TURP, PAE offers many benefits:
- Outpatient procedure
- Shorter recovery time
- Low risk of sexual side effects
- Low risk of urinary incontinence
- No indwelling Foley catheter
- No retrograde ejaculation
- Decreased pain and discomfort
Are you a candidate for PAE?
PAE is a non-surgical treatment alternative for men with moderate or severe BPH who have failed medical therapy and who do not wish to undergo or are ineligible for surgery.
If you are interested in seeing if you are a candidate for PAE, please contact our IR clinic at 310-481-7545, option 1 to arrange an appointment with one of our IR physicians.
You can also email our PAE physician group directly with any questions at [email protected].
PAE Physicians

Lucas R. Cusumano, MD, MPH

Zachary M. Haber, MD

Justin P. McWilliams, MD

Adam N. Plotnik, MD
