Newsletter Summer 2020
Message From Department Chair, Deborah Krakow, MD
As we put forward our first e-communication from the UCLA Department of Obstetrics and Gynecology, I must take a moment to acknowledge the state of healthcare in which we find ourselves today. It is a time of both regret and resolve – regret in missing our family, long exhausting hours, fear of what we don’t know, mourning the loss of socialization, weddings, graduations, of life and the way it was before COVID-19. Yet this regret is matched with great resolve. We are the safety net for our patients, society and each other. Being on the front lines is hard; each of us is feeling our own burden of worry and those of our patients, our families, our colleagues. Yet as we rise to these unprecedented challenges we are creating a new healthcare delivery model that will lead us to better and more effective ways to care for and heal our patients.

Within this resolute and hopeful outlook, I am proud to introduce our newest communication tool that over the coming years will bring you exciting updates about UCLA Obstetrics and Gynecology. In this issue we highlight changes that are helping elevate our efforts to provide first class care across the southern California market. Two years ago we initiated a plan to recruit world class physicians, researchers and other key staff and return the Department to national prominence, and welcomed Dr. Beth Y. Karlan as Department Vice Chair for Research. In the following sections you’ll find out about new faculty who have recently joined us, including our Gynecologic Oncology Division Director Dr. Ritu Salani, and renowned researcher Dr. Sandra Orsulic.
You’ll also read about an exciting partnership between UCLA and UCSF led by Dr. Yalda Afshar that is evaluating the impact of COVID-19 on pregnant women and their babies. This longitudinal research effort will help us fill the knowledge gap on data related to the impact of COVID-19 and our patients, and provide guidance as we develop tools to more effectively screen and care for our pregnant and postpartum patients and their newborns.
In other sections we will share updates on research and clinical activities of our faculty, as well as insights on achievements of our students, residents and fellows. We’ll also provide links to key research published by UCLA faculty and share information about grants and other funding that sustain our work.
We are excited about this new platform to communicate with you. Look for us in your “in-box” once each quarter, and please don’t hesitate to reach out to us with suggestions about how we can make this even more useful to you, your clinical and research efforts.
Deborah Krakow, MD
In this issue:
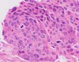
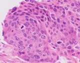
Clinical Update: Advances in the management of cervical cancer
Meet the Faculty: Ritu Salani, MD, MBA
Research Update: The Pregnancy Coronavirus Outcomes Registry
Education: Innovations in teaching
Education: New Fellows
New and Noteworthy
Highlighted Publications