Breast MRI Findings: Non Mass Enhancement (NME)
by Tiffany Yu, MD, and James Chalfant, MD
Introduction
Breast MRI is more sensitive than mammography and ultrasound for detecting breast cancer1 and has several indications, including screening high-risk patients, evaluating extent of disease or treatment response in biopsy-proven malignancy, detecting mammographically occult disease and troubleshooting inconclusive clinical, mammographic and/or sonographic findings.2 As with mammography and ultrasound, MRI breast findings are reported using standardized terminology from the 2013 BI-RADS Atlas.3
Contrast enhancement on breast MRI can be normal, such as in breast parenchymal enhancement (BPE), or abnormal. Per BI-RADS, abnormal enhancement is characterized as a focus, mass, or non-mass enhancement (NME).3 In this article, we focus on the BI-RADS descriptors for NME and examples of associated outcomes.
What is Non-Mass Enhancement (NME)?
BI-RADS defines NME as an enhancing small or large region that is not a mass or a focus, and can be distinguished from BPE.3 A mass is a 3D space-occupying lesion with convex (outward contour) borders, and a focus is a unique “dot” of enhancement measuring less than 5 mm that is too small to characterize morphologically and has no corresponding finding on precontrast images.3 Any non-BPE enhancement that does not meet these criteria is thus classified as NME. NME is further described by its distribution and internal enhancement pattern.3 Similar to BI-RADS descriptors for calcifications and mass features on mammography and ultrasound, some BI-RADS descriptors for NME distribution and internal enhancement patterns are more suspicious for malignancy than others.
NME: Distribution
BI-RADS descriptors for NME distribution include focal, linear, segmental, regional, multiple regions, and diffuse, as outlined by Table 1. There is significant overlap in distribution patterns of benign, high-risk, and malignant lesions, as explained in the NME Outcomes section.4 However, linear and segmental distribution are usually considered more suspicious for carcinoma.3 Regional, multiple regions, and diffuse enhancement are more typically benign and represent proliferative changes; however, multicentric carcinoma such as invasive lobular carcinoma can have these distributions.3,4,5
Table 1. 2013 BI-RADS Descriptors for NME Distribution3
BI-RADS Descriptor | Definition |
---|---|
Focal | Focal, less than one breast quadrant, interspersed normal tissue or fat |
Linear | Shaped like a line, suggestive of a single duct, with or without branching |
Segmental | Shaped like a triangle or cone, with apex pointing towards the nipple |
Regional | Spans at least one breast quadrant, and involves more than a single duct system |
Multiple Regions | Spans at least two broad areas separated by normal tissue or fat |
Diffuse | Similar appearing enhancing areas that are widely scattered and randomly distributed |
NME: Internal Enhancement Pattern
BI-RADS descriptors for NME internal enhancement patterns include homogeneous, heterogeneous, clumped, and clustered ring enhancement, as outlined by Table 2.3 Like distribution, none of these descriptors are specific or pathognomonic for malignancy, but heterogeneous, clumped or clustered ring enhancement are considered more suspicious.6 Clustered ring enhancement, considered the most suspicious, has been reported to have a positive predictive value 2 (PPV2) of 65% cancers in cases referred for MRI-guided biopsy.5
Table 2. 2013 BI-RADS Descriptors for NME Internal Enhancement3
BI-RADS Descriptor | Definition |
---|---|
Homogeneous | Confluent, uniform enhancement |
Heterogeneous | Nonconfluent, mixed enhancement |
Clumped | Areas of enhancement of varying shapes and sizes similar to cobblestones |
Clustered Ring | Thin rings of enhancement clustered around ducts |
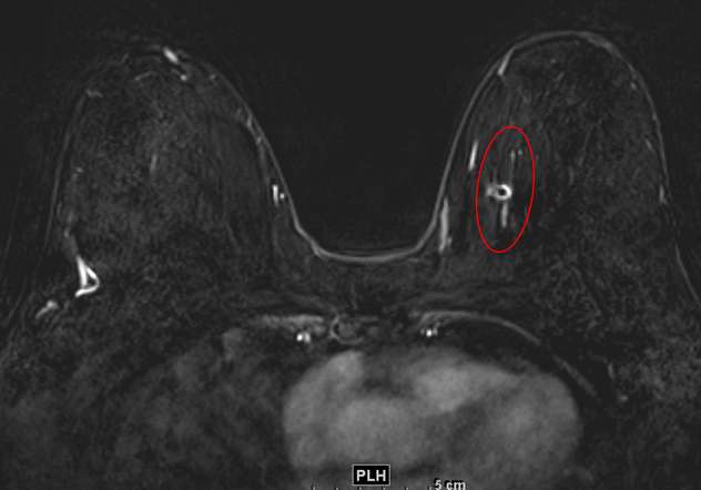
NME Outcomes
As mentioned above, NME distribution and internal enhancement patterns of benign, high-risk, and malignant findings overlap.3,4,6 For example, linear NME is suspicious for ductal carcinoma but can also be seen with radial scar/complex sclerosing lesions or intraductal papilloma and benign processes.4 Invasive lobular carcinoma (ILC) most commonly manifests as NME with focal or regional distribution, which are often benign distributions.4 Thus, the differential diagnosis for NME is broad, with a few of the most common causes including:
- Benign: pseudoangiomatous stromal hyperplasia (PASH), apocrine metaplasia, radiation changes;
- High-risk lesions: atypical ductal hyperplasia (ADH), radial scar/complex sclerosing lesion, flat epithelia atypia, intraductal papilloma; and
- Malignant lesions: ductal carcinoma in situ (DCIS), invasive ductal carcinoma (IDC), and ILC.4
The combination of NME distribution and internal enhancement pattern with other morphologic MRI features and contrast kinetic curves (discussed separately) can help differentiate findings that are more or less suspicious for malignancy, but often NME findings ultimately require MRI-guided core needle biopsy for definitive diagnosis.4 Figures 1 through 3 demonstrate examples of biopsy-proven malignant NME.



References
- Monticciolo D, Newell M, Moy L, Niell B, Monsees B, Sickles E. Breast Cancer Screening in Women at Higher-Than-Average Risk: Recommendations from the ACR. ACR 2018; 15:408-414. DOI: 10.1016/j.jacr.2017.11.034
- ACR Practice Parameter for the Performance of Contrast-Enhanced Magnetic Resonance Imaging (MRI) of the Breast. In: ACR Practice Parameters and Technical Standards. American College of Radiology. 2018.
- D’Orsi CJ, Sickles EA, Mendelson EB, Morris EA, et al. ACR BI-RADS® Atlas, Breast Imaging Reporting and Data System. Reston, VA, American College of Radiology; 2013.
- Chadashvili T, Ghosh E, Fein-Zachary V, et al. Nonmass Enhancement on Breast MRI: Review of Patterns With Radiologic-Pathologic Correlation and Discussion of Management. AJR 2015; 204:219-227. DOI: 10.2214/AJR.14.12656
- Chikarmane S, Michaels A, Giess C. Revisiting Nonmass Enhancement in Breast MRI: Analysis of Outcomes and Follow-up Using the Updated BI-RADS Atlas. AJR 2017; 209:1178-1184. DOI: 10.2214/AJR.17.18086
- Miyake K, Ikeda D, Daniel B. Magnetic Resonance Imaging of Breast Cancer and Magnetic Resonance Imaging-Guided Breast Biopsy. In: Ikeda D, Miyake K, eds. The Requisites: Breast Imaging. 3rd ed. Elsevier; 2017: 259-315. Accessed October 28, 2021.