Breast Composition: The Impact of Dense Breasts
by Ziang Lu, MD, Lucy Chow, MD, and Bo Li, MD
Introduction
The breast is primarily composed of fibroglandular tissue and fat. The breast fat is less dense relative to the epithelial components, terminal ductal units, and fibrous stroma that make up the fibroglandular tissue [1]. As a result, fat appears darker radiographically than fibroglandular tissue as it is more easily penetrated by x ray beams.
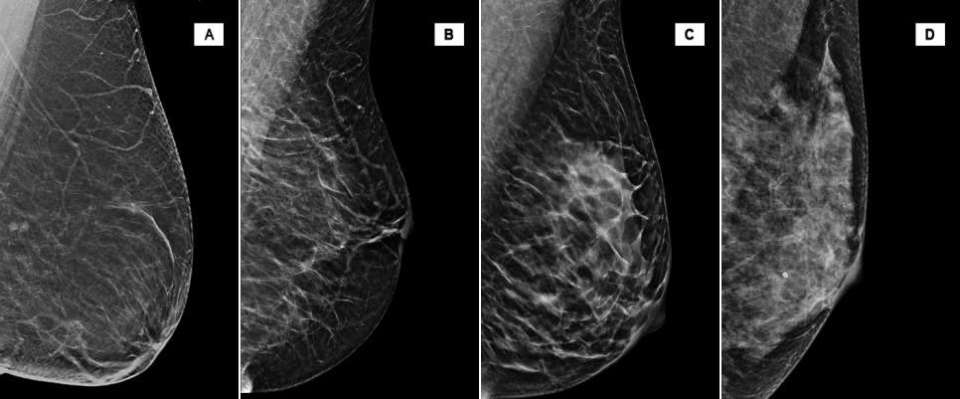
Breast density, or mammographic density, is a ratio of the proportion of fibroglandular tissue relative to fat in the breast. The current fifth edition of American College of Radiology Breast Imaging Reporting and Data System (BI-RADS) lexicon classifies breast density in four categories [2].

Current literature reports the proportion of the screening population in each category as 10% in Category A, 40% in Category B, 40% in Category C, and 10% in Category D. Therefore, approximately 50% of screening population has dense breast tissue, as defined by BI-RADS [1].
Factors influencing breast density
Breast density has been shown as a modifiable risk factor for breast cancer. Current literature has demonstrated multiple factors that influence breast density, including body mass index (BMI), long term hormone therapy exposure, age, pregnancy, and lactation status [3-5]. BMI and age are inversely correlated with breast density (i.e. increased age or BMI is correlated with decreased breast density) while the other factors are directly correlated with breast density.
Breast density as a breast cancer risk factor
Current literature has demonstrated that increased breast density is a risk factor for breast cancer, with approximately 1.8 to 6.0 times increased risk relative to those with the lowest breast density [3, 5]. The mechanism of increased breast cancer risk is likely multifactorial, including hereditary and acquired risk modifiers.
In addition, increased breast density is associated with decreased mammographic sensitivity to detect breast cancers. The sensitivity of mammography may be as low as 30-45% for breast cancer detection in dense breasts [6]. As a result, some states have passed legislation mandating that patients be informed regarding their breast density and associated possible decreased mammographic sensitivity [1].
Imaging modalities for breast cancer screening in dense breasts
Breast ultrasound and magnetic resonance imaging (MRI) have been investigated as potential screening modalities for breast cancer in patients with dense breasts. Presently, breast mammography is still the standard of care for screening for patients with dense breasts. When comparing 2D digital mammography and digital breast tomosynthesis (DBT), various studies have shown reduced recall rates, increased cancer detection, and decline in interval cancer rates for digital breast tomosynthesis (DBT) relative to 2D mammography [7].
Breast ultrasound has no ionizing radiation and does not require intravenous contrast agents. Whole breast screening ultrasound has been shown to have an incremental cancer detection rate of 3.2 per 1000 women with dense breasts and no other risk factors [8, 9]. While these results sound promising, supplemental whole breast screening ultrasound can also lead to an increase in false positives biopsies.
MRI has traditionally been used as a supplemental screening modality for patients with significant elevated risk of breast cancer (i.e. great than 20% lifetime breast cancer risk). Recent studies have examined the role and effectiveness of MRI as a screening tool in patients with dense breasts [6, 8]. One study demonstrated increased breast cancer detection with the addition one MRI after the patient had three negative screening mammograms and breast ultrasounds [8].
Furthermore, the degree of background parenchymal enhancement on MRI has been shown to be correlated with breast cancer risk [10]. As a result, breast MRI may present an alternative measurement for mammographic breast density without the use of ionizing radiation.
References
- Winkler NS, Raza S, Mackesy M, Birdwell RL. “Breast density: clinical implications and assessment methods.” (2015) Radiographics: a review publication of the Radiological Society of North America, Inc. 35 (2): 316-24. DOI: 10.1148/rg.352140134
- D’Orsi CJ, Sickles EA, Mendelson EB, Morris EA, et al. ACR BI-RADS® Atlas, Breast Imaging Reporting and Data System. Reston, VA, American College of Radiology; 2013
- Boyd NF, Dite GS, Stone J, et al. “Heritability of mammographic density, a risk factor for breast cancer.” N Engl J Med 2002;347:886–94. DOI: 10.1056/NEJMoa013390
- Chen JH, Gulsen G, Su MY. “Imaging Breast Density: Established and Emerging Modalities.” Transl Oncol. 2015;8(6):435-445. DOI: 10.1016/j.tranon.2015.10.002
- Vinnicombe, S. J. “Breast density: why all the fuss?” (2018) Clinical Radiology, 73(4), 334–357. DOI: 10.1016/j.crad.2017.11.018
- O’Flynn, E. A. M., Ledger, A. E. W., & deSouza, N. M. (2015). “Alternative Screening for Dense Breasts: MRI.” American Journal of Roentgenology, 204(2), W141–W149. DOI: 10.2214/AJR.14.13636
- McDonald ES, Oustimov A, Weinstein SP, Synnestvedt MB, Schnall M, Conant EF. “Effectiveness of Digital Breast Tomosynthesis Compared With Digital Mammography: Outcomes Analysis From 3 Years of Breast Cancer Screening.” JAMA Oncol. 2016 Jun 1;2(6):737-43. DOI: 10.1001/jamaoncol.2015.5536
- Berg WA, Zhang Z, Lehrer D, et al. “ACRIN 6666 Investigators. Detection of breast cancer with addition of annual screening ultrasound, or a single screening MRI to mammography in women with elevated breast cancer risk.” JAMA 2012; 307:1394–1404 DOI: 10.1001/jama.2012.388
- Weigert J, Steenbergen S. “The Connecticut experiment: the role of ultrasound in the screening of women with dense breasts.” Breast J 2012; 18:517–522 DOI: 10.1111/tbj.12003
- Thompson CM, Mallawaarachchi I, Dwivedi DK, Ayyappan AP, Shokar NK, Lakshmanaswamy R, Dwivedi AK. “The Association of Background Parenchymal Enhancement at Breast MRI with Breast Cancer: A Systematic Review and Meta-Analysis.” Radiology. 2019 Sep;292(3):552-561. DOI: 10.1148/radiol.2019182441