Ultrasound
Find your care
Radiologists are experts in all types of imaging, including advanced techniques.
Call today to find medical imaging near you and schedule your imaging procedure (MR, CT, PET, Dexa, Ultrasound).
Cutting-edge ultrasound imaging techniques
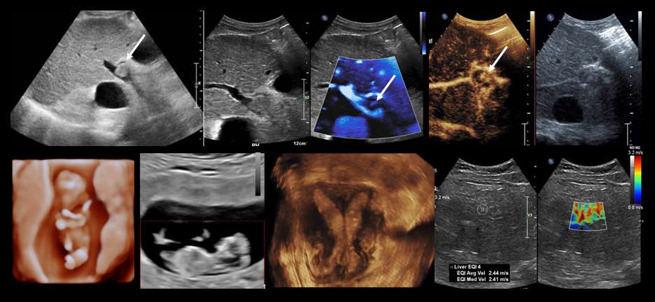
UCLA Health Ultrasonography serves the Los Angeles area with the full array of ultrasound procedures, including general abdominal, gynecologic-obstetric-fetal, urologic, head-neck-thyroid and vascular examinations. Our specialists use the most advanced techniques, including color-flow Doppler and superb microvascular imaging, 3-D ultrasound, shear-wave elastography, and contrast enhanced ultrasound.
Ultrasound directed procedures including biopsies, aspirations and saline infusion sonohysterograms are performed in our outpatient centers. All ultrasound facilities are equipped with high resolution 2-D grayscale and color-flow Doppler scanning equipment applying the latest software platform where available. Our specialists also conduct ongoing research in many projects including application of artificial intelligence technologies in image analysis.
