Novalis Radiosurgery
Find your care
We treat pituitary tumors using the latest innovations in minimally invasive procedures. To connect with an expert in the pituitary tumor program, call 310-825-5111.
Stereotactic Radiosurgery
General information

The precision of Novalis Shaped Beam Surgery stereotactic surgery system allows UCLA neurosurgeons to deliver highly focal radiation to a tumor with minimal or no damage to vital areas of the surrounding brain.UCLA brain tumor surgeons and neuro-oncologists collaborated closely with the physicians in the Stereotactic Radiosurgery Program.
- UCLA was the first center in the United States to use the advanced Novalis system.
- The Novalis system offers more treatment options than Gamma Knife. These advantages include:
- The ability to deliver a more even dose of radiation to tumors that are not shaped like a ball. This helps assure several important conditions:
- All of the tumor receives an adequate dose of radiation.
- No area receives an excessive amount of radiation.
- The surrounding normal brain receives a minimal amount of radiation.
- The ability to spread radiation doses over time, rather than being limited to a one-time dose.
- Clinical results have demonstrated that delivering multiple or "fractionated doses" provides a therapeutic advantage for treating tumors that are near cranial nerves or critical regions of the brain.
- About one-half of all radiosurgery treatments would be better treated with multiple small doses.
- Based on these technological advancements coupled with proven clinical results, the Novalis is now considered the "Gold Standard" for shaped-beam radiosurgery.

Stereotactic radiosurgery: The upper left image shows a treatment plan in which beams of radiation (in blue) are all directed at a tumor target at various angles around an arc. The diameter of each beam is based on the cross-sectional size of the tumor from that direction. Note that certain radiation sensitive structures do not have radiation passing through them, including the brainstem (green) and eyes (lavender). The other three images (upper right, CT; lower left, PET; and lower right, MRI), show how UCLA doctors can use imaging information from many different types of advanced diagnostic imaging machines for the best treatment planning of this target (arrow).
How it works
- The Novalis system directs a narrow beam of radiation at the target. By moving this beam over an arc and always pointing at the center, which is the target, the tumor (target) is always receiving the highest amount of radiation, whereas the surrounding brain only receives a small amount.

- Using complex computer modeling, the width of the radiation beam can be changed at different parts of the arc, allowing the Novalis system to deliver an even amount of radiation (conformal therapy) to irregularly shaped tumors. In contrast, Gamma Knife uses fixed beam widths, delivering radiation shaped in a sphere. If the tumor is ball shaped (spherical), then the Gamma Knife can provide an even dose plan. Many tumors, however, are not spherical.

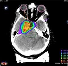
Conformal radiation dose delivery with Novalis. This CT image shows the how this pear-shaped tumor, outlined with a thin red line, can be evenly dosed with the appropriate amount of radiation (in the 90th percentile of the prescribed dose, or the yellow area) in a manner that matches the shape of the tumor. A similar treatment plan would not be possible with Gamma Knife.
Indications for stereotactic radiosurgery or radiotherapy
- Stereotactic radiosurgery (or if delivered in multiple smaller doses, radiotherapy) can be considered as a stand-alone treatment or as a supplemental treatment following surgery if complete tumor removal is not possible
- The decision between surgery and radiosurgery involves many factors:
- Type of tumor: For example, some types of tumor, such as Glioblastoma, do not respond to stereotactic radiosurgery (including Gamma Knife). Glioblastoma patients treated this way have more complications with no proven benefit.
- Location of tumor: Tumors in surgically hard to reach areas or wrapped around critical nerves may be better treated with stereotactic radiosurgery. Novalis enables the treatment of intracranial lesions that were once considered inoperable due to their proximity to eloquent or critical structures.
- Age and medical condition of patient: In patients with higher medical risks involving anesthesia, stereotactic radiosurgery may be a good alternative. Conversely, younger patients may want to avoid radiation because of the remote risk of radiation-induced cancers many years later.
- The UCLA neurosurgeons and radiation oncologists who specialize in stereotactic radiosurgery have much experience and are true experts in the field.