Stereotactic Body Radiation Therapy (SBRT)
What is Stereotactic Body Radiation Therapy (SBRT)?
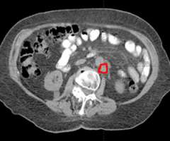
Stereotactic Body Radiation Therapy (SBRT) is a treatment procedure similar to central nervous system (CNS) stereotactic radiosurgery, except that it deals with tumors outside of the CNS. A stereotactic radiation treatment for the body means that a specially designed coordinate-system is used for the exact localization of the tumors in the body (Figure 1) in order to treat it with limited but highly precise treatment fields. SBRT involves the delivery of a single high dose radiation treatment or a few fractionated radiation treatments (usually up to 5 treatments). A high potent biological dose of radiation is delivered to the tumor, improving the cure rates for the tumor, in a manner previously not achievable by standard conventional radiation therapy (Figure 2).
Phone: (310) 825-9775
Got SBRT Questions? ASK AN SBRT EXPERT
Similarly, because this specialized form of radiation involves the use of multiple radiation beam angles, expert Radiation Oncologists specialized in this technique are able to safely deliver high doses of radiation, with very sharp dose gradient outside the tumor and into the surrounding normal tissue (Figure 3).




SBRT a specialized type of external beam radiation that allows highly precise delivery of high doses of radiation to small targets. Typically treatment with this technique is completed in 3-5 treatments over the course of 1-2 weeks. This is opposed to the daily standard external beam radiation treatment that is typically given over the course of multiple weeks.
This technique is currently being used in situations where treatment options have previously been limited. It is currently most commonly being used in cases where patients have a limited number of recurrent sites to deliver an ablative dose of radiation. Examples include limited disease in recurrent lymph nodes, the lungs, the spine, and the liver.

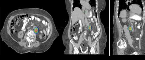
The second row shows images (axial, coronal, and sagittal) of the distribution of the radiation dose that was delivered to this area. One can see that the dose of radiation to this target is very tightly distributed to avoid as much normal tissue as possible.
UCLA Advantage
UCLA’s Department of Radiation Oncology faculty offer the most advanced treatments to patients whose cancers range from the relatively common to the most complex and rare in a caring, patient-focused environment. UCLA is the first center in the area to install a new, state-of-the-art, image-guided device that provides more accurate, concentrated doses of radiation. Novalis Tx tracks the location of tumors during breathing and other movement, and delivers radiation with the highest precision. The device also shapes the radiation beam, mirroring the tumor’s size and shape. Novalis Tx is equipped with Varian’s RapidArc radiotherapy technology, delivering precise intensity-modulated radiotherapy (IMRT) up to eight times faster than other IMRT systems. Reducing the treatment time decreases the chance that patient movement will affect the treatment.
Frequently Asked Questions about SBRT
- Video: What is SBRT?
- FAQs: What is Stereotactic Body Radiation Therapy (SBRT)?
- How SBRT Differs from Conventional Therapy
- How SBRT Works
- Who Can Benefit From SBRT
- What are the indications for Stereotactic Body Radiation Therapy (SBRT)?
- What is required to perform SBRT treatments for localized tumor?
- Why should you have SBRT treatments at UCLA?
- What should you expect after SBRT treatments?
- What is the data supporting the use of SBRT treatments?