Intensity Modulated Radiotherapy (IMRT)
High Precision IMRT
Intensity modulated radiation therapy with image guidance (IMRT/IGRT)
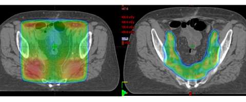
IMRT is a treatment advance that allows us to modulate the intensity of the radiation dose within a given radiation field. This means that the distribution of the radiation dose can be sculpted more finely around targets of interest while sparing more normal tissues. An example of this can be seen below where the axial CT image on the left is an example of a 3D-conformal plan and on the right is an example of an IMRT plan on the same patient. One can see that the IMRT plan allows the majority of the dose to be placed around the lymph nodes (which is the target) while sparing the bowel centrally.


Here at UCLA we have multiple state of the art radiation treatment machines that are capable of IMRT. These include: Tomotherapy, TrueBeam, NovalisTX, and ViewRay. Because the radiation dose is more sculpted with IMRT it is critical that the patient be set up properly each day. Image guidance (IGRT) is used to verify your position and anatomy prior to your treatment to ensure that the intended radiation targets are being treated properly. Any adjustments in your setup are made and then when 100% certainty is achieved the treatment is delivered.
All IMRT is not created equal.
The technology at UCLA was designed in conjunction with scientists in the Division of Medical Physics. UCLA is the first institution to deliver high precision, high resolution IMRT using the Novalis linear accelerator. The beam shaping device of the Novalis is equipped with 3 mm "leaves" as opposed to the standard 10 mm leaves of most other commercial devices.
The UCLA IMRT Program is a team effort comprising specialists in Radiation Oncology, Surgery, Urology, and Medical Physics. The Medical Physics division in particular is staffed by 13 specialists, 11 with advanced PhD's.