Pathology
Renal Pathology

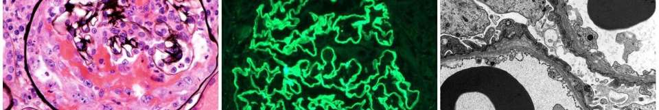
The Renal Pathology Section handles a large volume of diagnostic renal biopsies. Expertise is available for handling fresh biopsy specimens at UCLA as well as consultation material from referring institutions. The section is also expert in interpretation of renal transplant biopsies and nephrectomy specimens, and in the evaluation of post-transplantation complications including lymphoproliferative disorders.
Services
- Renal biopsy consultation
- Immunofluorescence microscopy
- Electron microscopy
Education
- Resident training
- Medical student lectures and labs
- Combined Renal Pathology/Surgical Pathology Fellowship
Faculty
Contact Information
Location & General Inquiries
10833 Le Conte Ave,13-145 CHS
Los Angeles, CA 90095-1732
Phone: (310) 267-2680
Fax: (310) 267-2685 | Email
Section Chief
Jonathan Zuckerman MD, PhD
(310) 267-2680 | Email
Pathology Requests & Reports
(310) 825-8947 (Surg Path Reporting)
(310) 267-2680 (Outreach)