Lung Cancer & Non-Small Cell Lung Cancer
Find your care
Our experts offer a comprehensive suite of image-guided techniques to treat cancers of the liver, kidney, lung, musculoskeletal and other solid malignancies. Call 310-481-7545 to schedule a consultation or procedure.
What is non-small cell lung carcinoma?
Lung cancer is the most common cancer. Small-cell and non-small cell lung cancer (NSCLC) is a disease in which malignant cells develop from tissues of the lung. There are several types of non-small cell lung cancer: squamous cell carcinoma, large cell carcinoma, and adenocarcinoma. Non-small cell lung cancer is the most common kind of lung cancer.

Risk Factors
- Smoking
- Secondhand smoke
- Radon exposure
- Exposure to other substances
- Asbestos, arsenic, diesel exhaust, some forms of silica and chromium
- Personal or family history of lung cancer
- Radiation therapy to the breast or chest
Symptoms
Lung cancer signs may include:
- A cough that doesn’t go away and gets worse over time
- Constant chest pain
- Coughing up blood
- Shortness of breath, wheezing, or hoarseness
- Repeated problems with pneumonia or bronchitis
- Swelling of the neck and face
- Loss of appetite or weight loss
- Fatigue

Lung Cancer Screening
Screening is looking for cancer before a person has any symptoms. UCLA is a leading institution in lung cancer screening. The recommendations for lung cancer screening are based on a several studies that carefully evaluated low-dose CT scanning to look for lung cancer in high-risk patients. The most significant study was the National Lung Screening Trial (NLST).
The benefits of lung cancer screening include:
- Early detection of lung cancer
- Decreased mortality from lung cancer
For more information on lung cancer screening, please visit
Lung Cancer & NSCLC Diagnosis
In addition to a physical examination, laboratory tests and imaging studies are needed. These tests include:
- Chest x-ray
- CT scan
- Sputum cytology
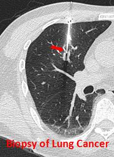
- Biopsy of the lung
- Bronchoscopy
- Thoracoscopy
- Thoracentesis
- Light and electron microscopy
- Immunohistochemistry
Treatments
Treatment depends on the type of cancer, the stage (size of tumor and whether it has spread to other organs), whether the cancer has mutations in certain genes, and the patient’s general health. In addition to traditional surgical resection, chemotherapy, targeted systemic therapy, and radiation therapy, our interventional oncology team also offer the following image-guided minimal invasive therapies:
- Thermal ablation, including radiofrequency and microwave
- Cryoablation
- Fiducial implants and/or Brachytherapy, in collaboration with Radiation Oncology
For More Information:
For more information or to schedule an appointment with one of our IR physicians, please call 310-481-7545.