Liver Cancer
Find your care
Our experts offer a comprehensive suite of image-guided techniques to treat cancers of the liver, kidney, lung, musculoskeletal and other solid malignancies. Call 310-481-7545 to schedule a consultation or procedure.
What is hepatocellular carcinoma?
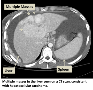
Hepatocellular carcinoma (HCC) is the most common type of primary liver cancer. Primary liver cancer refers to cancer that originates in the liver rather than cancers from other organs that metastasize to the liver (see metastatic liver cancer). HCC can start as a single tumor or as several tumor nodules across the liver.
The most common cause for HCC in the United States is cirrhosis, or liver scarring, and its related causes discussed below in the Risk Factors section. Even without cirrhosis, other conditions such as Hepatitis B can cause HCC.

Risk Factors
- Most common in men above age 50
- Cirrhosis (liver scarring) and its causes:
- History of alcohol use
- Hepatitis B or C infection
- Fatty liver disease
- Long term inflammation of the liver
- Hemochromatosis, or iron overload
- Other types of liver disease
- Obesity
- Diabetes
Symptoms
In early stages of the cancer, there are usually no symptoms. If symptoms do occur, they include:
- Abdominal pain
- Jaundice, or yellowing of skin and eyes
- Weight loss
- Ascites
- Fatigue
- Easy bruising or bleeding

Diagnosis and Screening
In addition to a physical examination, laboratory tests and imaging studies may be needed. These tests may also be necessary at regular intervals to detect early cancer if certain risk factors are present. Our physicians may enroll you into such a screening or surveillance program. The tests may include:
- Ultrasound
- CT scan
- MRI
- Liver function tests
- Liver biopsy
Treatments
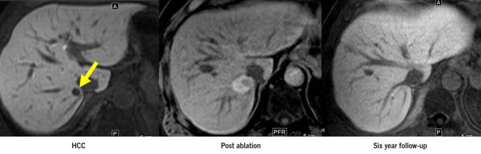
Our physicians are liver specialists in both imaging and minimal invasive therapy. They work in collaboration with the liver surgeons, hepatologists, and liver oncologists to offer treatments either alone or in combination with traditional surgical and medical therapies. Treatment strategy is personalized taking into account individual risk factors and very importantly, the precise extent of tumor and the condition of the underlying liver through imaging assessment. Optimal strategy may include one or a combination of minimal invasive treatments below:
- Chemoembolization
- Radioembolization
- Thermal ablation (microwave and radiofrequency)
- Tumor injection (ex. ethanol)
- Others (ex. IRE, immune modulation)

For More Information:
For more information or to schedule an appointment with one of our IR physicians, please call 310-481-7545.