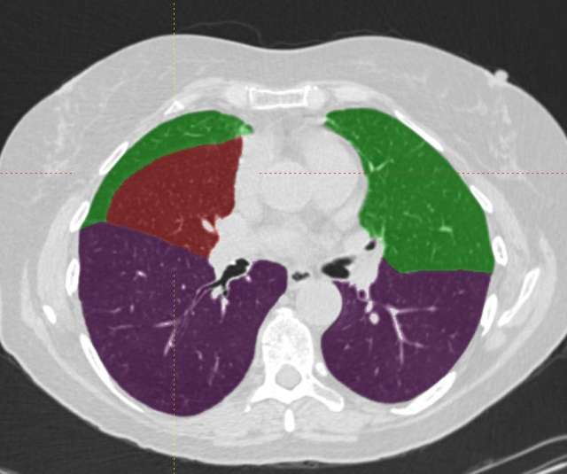
The Q3D lab provides a cutting edge quantitative lung CT report. The report is calculated using artificial intelligence that assesses visible imaging characteristics and also features below the resolution of the eye to give precise lung disease classifications and diagnosis so that treatment options can be tailored to the specific patient. Report metrics include:

  • Emphysema Scoring
  • Lobar Volumetrics
  • Lung Fibrosis Scoring
  • Lung Nodule Detection and Characterization
    Lobar Segmentation
    Lobar Segmentation