Liver Cancer
Find your care
Our board-certified physicians diagnose and treat many vascular conditions. Call 310-481-7545 to learn more about interventional radiology services.
What is hepatocellular carcinoma?
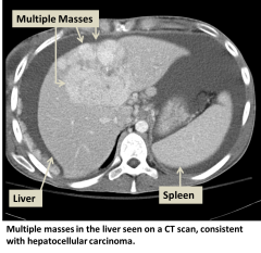
Hepatocellular carcinoma (HCC) is the most common type of primary liver cancer. Primary liver cancer refers to cancer that originates in the liver rather than cancers from other organs that metastasize to the liver (see metastatic liver cancer). HCC can start as a single tumor or as several tumor nodules across the liver.
The most common cause for HCC in the United States is cirrhosis, or liver scarring, and its related causes discussed below in the Risk Factors section. Even without cirrhosis, other conditions such as Hepatitis B can cause HCC.


Risk Factors
- Most common in men above age 50
- Cirrhosis (liver scarring) and its causes:
- History of alcohol use
- Hepatitis B or C infection
- Long term inflammation of the liver
- Hemochromatosis, or iron overload
- Other types of liver disease
- Obesity
- Diabetes
Symptoms
Initially, there may or may not be symptoms from the metastatic liver cancer. If symptoms do occur, the symptoms for metastatic liver cancer include:
- Abdominal pain
- Jaundice, or yellowing of skin and eyes
- Weight loss
- Ascites
- Fatigue
- Easy bruising or bleeding
Diagnosis
In addition to performing a physical exam, your doctor may perform the following exams:
- Ultrasound
- CT scan
- MRI
- Liver function tests
- Liver biopsy
Treatments
For More Information:
For more information or to schedule an appointment with one of our IR physicians, please call 310-481-7545.