Inferior Petrosal Sinus Sampling
Find your care
Our interventional neuroradiology team has paved the way for interventional procedures, creating several of the devices and techniques widely used today. Call 310-267-8761 to learn more about our services.
ACTH testing for Cushing’s Syndrome and Cushing’s Disease
In this section:
What is Cushing’s Syndrome and Disease?
Cushing’s Syndrome is excess of the hormone cortisol. It is normally produced by the adrenal gland and, when in excess, can cause a myriad of symptoms. The cause can be a tumor of the adrenal gland or another tumor causing the adrenal gland to produce excess cortisol. Cushing’s Disease is when that tumor is located in the Pituitary gland. There are sometimes other causes of excess cortisol as well. Tumors cause the adrenal gland to produce excess cortisol by secreting a hormone called adrenocorticotrophic hormone (ACTH).
The IPSS test is done in some patients to identify if there is too much ACTH is causing the excess production of cortisol, and where it is coming from.
How do we do an IPSS procedure?
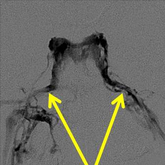
Typically under general anesthesia, we place small tubes (catheters) into the femoral veins (the main vein draining the legs) at the level of the groin. From there, under X-ray guidance, we navigate those catheters to the main veins which drain the Pituitary gland. These are the inferior petrosal sinuses (right and left). We then draw samples from those veins and the main vein of the abdomen and test those samples for ACTH. We also take timed samples after giving a dose of medication which would normally stimulate the production of ACTH to improve the sensitivity of the test.
When we get the results, the different levels of ACTH may help the endocrinologist determine where the tumor is located that is causing the adrenal gland to produce the excess cortisol. If it is from the Pituitary gland, any difference between the right and left samples may help the surgeon determine the surgical plan to remove the tumor yet preserve the normal Pituitary gland.
Example of testing results:
Time | Right IPS | Left IPS | Inf Vena Cava | Cortisol |
---|---|---|---|---|
Baseline 1 09:32 | 40 pg/ml | 17 | 18 | 25 mcg/dl |
Baseline 2 09:34 | 45 | 18 | 15 | 24 |
DDAVP inj 09:38 | ||||
Post 2min 09:40 | 72 | 21 | 18 | |
Post 5min 09:43 | 157 | 20 | 19 | |
Post 10min 09:48 | 161 | 30 | 25 | |
Post 15min 09:53 | 162 | 33 | 26 | |
Post 30min 10:08 | 124 | 32 | 29 | 30 |
This example shows elevation of ACTH in the right inferior petrosal sinus, likely indicating a tumor in the right side of the pituitary gland causing Cushing’s Disease.
Picture of contrast injection of the inferior petrosal sinuses:
