Cerebral Venous Sinus Thrombosis
Find your care
Our interventional neuroradiology team has paved the way for interventional procedures, creating several of the devices and techniques widely used today. Call 310-267-8761 to learn more about our services.


What is Cerebral Venous Sinus Thrombosis?
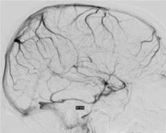
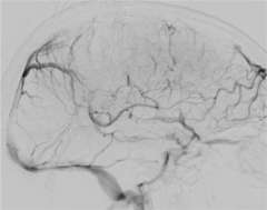
Cerebral venous sinus thrombosis is a rare condition when a large blood clot forms in a large vein in the brain called a dural venous sinus. The clot blocks the dural sinus and prevents the blood flow draining from the brain (Figure 1).
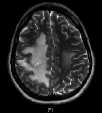
The blockage can result in brain swelling (edema), stroke, and/or bleeding in the brain (Figure 2).
Any conditions that have a tendency to develop clots can cause cerebral venous sinus thrombosis. For example, dehydration, facial skin/ear infection, sepsis, various iv drugs (for example, ecstasy), oral contraceptives, high altitude, dry weather, malignancy, pregnancy and the puerperium. Cerebral venous sinus thrombosis is more common in women (female:male=3:1).


Symptoms and Diagnosis
Cerebral venous sinus thrombosis can be potentially devastating, particularly in patients presenting with rapid neurologic deterioration which occurs in about 40%. The most common presentation is severe headaches (90%) and seizures (50%).
Brain imaging studies such as MRI and CT are commonly used to demonstrate the clot in the cerebral venous sinuses. If necessary, catheter angiography is also performed to visualize the relatively small clots or when catheter based clot-removing treatment is needed (Figure 1).
Treatment
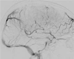
Anticoagulation, the administration of a blood thinning drug is the first line of treatment and has been shown to be very effective. However, when the clot burden is too large and/or the patient condition deteriorates despite anticoagulation treatment, catheter based clot-busting treatment becomes a consideration (Figure 3).
Using the state-of-the-art interventional suite equipped with the latest biplane X-ray machine, we can safely navigate a catheter into the cerebral venous sinus that is blocked with the clot. Via the catheter, we can deploy a clot-capturing device or aspirate the clot from the catheter itself.
Prognosis
Although mortality associated with cerebral venous sinus thrombosis is less than 10%, delayed intervention could result in a permanent disability (stroke). With a proper treatment in a Comprehensive Stroke Center, 80-90% of patients can achieve complete recovery.
We have reported our latest treatment approach for cortical venous sinus thrombosis in a scientific medical journal. If you have any questions on this condition, please feel free to contact us.



Reference
Chow K, Gobin YP, Saver J, Kidwell C, Dong P, Viñuela F. Endovascular treatment of dural sinus thrombosis with rheolytic thrombectomy and intra-arterial thrombolysis. Stroke. 2000 Jun;31(6):1420-5.
Raychev R, Tateshima S, Rastogi S, Balgude A, Yafeh B, Saver JL, Vespa PM, Buitrago M, Duckwiler G. Successful treatment of extensive cerebral venous sinus thrombosis using a combined approach with Penumbra aspiration system and Solitaire FR retrieval device. J Neurointerv Surg. 2014 Jun;6(5):e32.