Pediatric Brain Tumor Program
Find your care
Call 310-825-5111 to learn more about our world-class pediatric neurosurgery services.
At UCLA Mattel Children’s Hospital, we are committed to combining the most advanced, most effective, and safest treatments for each individual patient.

From left: Dr. Anthony Wang and Dr. Aria Fallah
We have assembled a pediatric brain tumor team consisting of neurosurgery, neuro-oncology, neurology, neuroradiology, neuropathology, neurodevelopmental, and nursing experts. We collaborate closely as a team to optimize and individualize treatment plans for every individual patient.

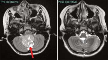
Being one of the world’s top research institutions, patients have access to world-renowned experts and state-of-the-art clinical research trials. We are committed to serving all children with pediatric brain and spinal cord tumors, even if treatment has been initiated elsewhere. Surgery is usually the first, and often most critical step in treating children with brain and spinal cord tumors. In addition to our exceptional experience in complex brain tumor surgery, we offer expertise in minimally invasive techniques, including endoscopy, laser interstitial therapy, and keyhole approaches. which allows us to safely and effectively treat tumors in difficult-to-access areas. When employed judiciously, these minimally invasive techniques serve to greatly reduce post-operative recovery time.
At UCLA, we use the most advanced technology to bring us closer to achieving our goal of surgical perfection. We have teamed with the virtual gaming industry to develop the latest technology in image-guided surgery. In an effort to enhance the safety of the surgeries we perform, we have adapted virtual reality technology for the operating room, allowing us to rehearse and prepare for surgery in a way that has never been possible before.

UCLA is the leading center in the world for brain tumor vaccine research, and in precision medicine efforts for children. We are a member of the Pacific Pediatric Neuro-Oncology Consortium (PNOC) and the Children’s Oncology Group (COG). These organizations consist of many of the best children’s hospitals in the country, working together to make available the best clinical trials to every patient, wherever they may be.
We are not only well equipped to provide state-of-the-art treatment for any pediatric brain or spinal cord tumor, we are committed to inventing the therapies that will define the treatments of the future.
Faculty
Pediatric Neurosurgery
Pediatric Hematology Oncology
Pediatric Radiation Oncology