Radiology
Find your care
We work as a team to provide outstanding esophageal care. Call 833-373-7674 to connect with a specialist at the UCLA Robert G. Kardashian Center for Esophageal Health.
Radiologic testing for esophageal disoders can include:
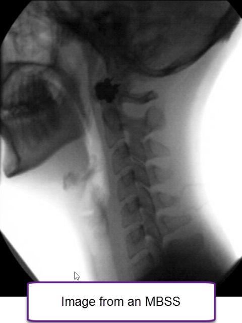
Modified barium swallow study (MBSS)

The MBSS is a fluoroscopic radiologic test performed to evaluate swallowing. It gives information on how efficiently an individual can move liquid or food from the mouth to the throat and then into the esophagus. This exam reveals if liquid or food is being aspirated (aspiration = material that goes down the wrong way, or specifically, enters the windpipe or trachea). A speech pathologist is the professional typically performing the test. The patient sits in a chair and swallows food and liquid. Everything swallowed has barium added to it. Barium material is used because it shows up on x-rays. The swallow study is recorded and the speech pathologist analyzes the study to determine if swallow structures are moving in an abnormal manner, if there is excess residue or aspiration (and why), and correlates the patient’s swallowing complaint to the observed swallowing behavior. The speech pathologist may ask the patient to perform behavioral maneuvers during the study, to try to improve swallow function. The speech pathologist may recommend swallow therapy. The speech pathologist will send a report based on study results to the referring physician.