Success Stories
3D virtual reality models help yield better surgical outcomes
A UCLA-led study has found that using three-dimensional virtual reality models to prepare for kidney tumor surgeries resulted in substantial improvements, including shorter operating times, less blood loss during surgery and a shorter stay in the hospital afterward.

Brain implant restores visual perception to the blind
The implantable wireless device is geared towards people who used to be able to see but lost their vision to injury or disease. While it doesn’t provide normal sight, it enhances users’ ability to navigate the world by restoring their capacity to detect movement and distinguish light and dark.

AI helps radiologists in detecting prostate cancer
UCLA researchers have developed a new artificial intelligence system to help radiologists improve their ability to diagnose prostate cancer. The system, called FocalNet, helps identify and predict the aggressiveness of the disease evaluating magnetic resonance imaging, or MRI, scans, and it does so with nearly the same level of accuracy as experienced radiologists.

Deep learning device identifies cancer cells in blood in milliseconds
A randomized study conducted at UCLA to test the difference between VR and traditional surgical training found that medical students trained in VR scored significantly better than traditional methods.

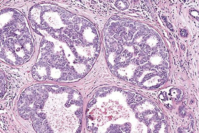
AI allows pathologists to accurately diagnose breast cancer
UCLA researchers have developed an artificial intelligence system that could help pathologists read biopsies more accurately and to better detect and diagnose breast cancer.

Nanocapsule reaches cancer that is difficult to treat
Cancer that has spread to the central nervous system is notoriously difficult to treat. Now, UCLA researchers have developed a drug delivery system that breaks through the blood-brain barrier in order to reach and treat cancer that has spread to the central nervous system.

Virtual Reality beats traditional methods for surgical training
A randomized study conducted at UCLA to test the difference between VR and traditional surgical training found that medical students trained in VR scored significantly better than traditional methods.

New device allows for brain-computer communication
For nearly a decade, Dejan Markovic, a professor of electrical and computer engineering and leader of the Parallel Data Architectures Laboratory, has been leading the development of a device that would be implanted in the brain to help people with a range of neurological conditions, such as anxiety, depression, or post-traumatic stress disorder.

Electrical stimulation changes lives of patients with paralysis
Rob Summers was flat on his back at a rehabilitation institute in Kentucky when he realized he could wiggle his big toe. Up, down, up, down. This was new — something he hadn’t been able to do since a hit-and-run driver left him paralysed from the chest down.

Virtual reality shows promise for depression
UCLA psychiatry researcher Michelle Craske is asking patients to dive into coral reefs, ride on bullet trains rushing past pine trees, and cheer on soccer teams from the stands – at least virtually – in a bid to tackle a symptom long sidelined in depression treatment.
