
Claudio Scafoglio, MD, PhD
Languages
Contact Information
Phone
Scientific Interests
Dr. Claudio Scafoglio's research is focused on understanding the utilization of glucose by cancer cells, the metabolic consequences of glucose transport inhibition and the regulation and dynamics of glucose transporter expression in cancer. His lab studies cancer cell metabolism by associating imaging-based approaches with metabolomics and metabolite tracing analyses, with dual purposes: 1) understanding the complexity and heterogeneity of glucose metabolism in cancer cells, and 2) identifying and testing imaging probes that can predict the response to novel metabolic therapies.
Highlighted Publications
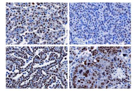
Scafoglio C, Hirayama BA, Kepe V, Liu J, Ghezzi C, Satyamurthy N, Moatamed NA, Huang J, Koepsell H, Barrio JR, Wright EM. Functional expression of sodium-glucose transporters in cancer. Proc Natl Acad Sci U S A. 2015 Jul 28;112(30):E4111-9. doi: 10.1073/pnas.1511698112. Epub 2015 Jul 13.
Dago DN, Scafoglio C, Rinaldi A, Memoli D, Giurato G, Nassa G, Ravo M, Rizzo F, Tarallo R, Weisz A. Estrogen receptor beta impacts hormone-induced alternative mRNA splicing in breast cancer cells. BMC Genomics. 2015 May 9;16:367. doi: 10.1186/s12864-015-1541-1.