Breast Cancer
Find your care
Radiation oncologists use a patient-centered approach and individualized treatment plans. To learn more and make an appointment with a UCLA radiation oncologist, contact us at:
Westwood - 310-825-9775
Santa Clarita - 661-287-0010
Santa Monica - 424-259-8777
Radiation Therapy for Breast Cancer
UCLA Multidisciplinary Expert Care
Radiation therapy has a long history in the treatment of breast cancer. It is used in most patients undergoing breast conservation. Breast conservation is the treatment of choice for most early stage breast patients in the U.S. today.
Radiation therapy is also used in patients following mastectomy (breast removal) if certain "high risk" features are identified.

In several clinical trials, radiation has been found to not only reduce the chance of local recurrence, but also improve patient survival.
At UCLA there are several techniques available to treat breast cancer
These techniques include:

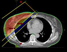
Whole breast radiation therapy (fig 1)
- Standard fractionation – 6.5 weeks
- Hypofractionation – 3-4 weeks
Partial breast irradiation (PBI) (fig 2&3)
- External Beam
- Balloon based implant
- Interstitial needle implant
- Intraoperative (IORT) – One treatment One day

Possible Side Effects of Radiation Therapy for Breast Cancer
Side effects are usually temporary and usually go away shortly after treatment ends. Below is a list of possible side effects you might notice during your treatment. However, ask your doctor what you can expect from your specific treatment.
- Skin irritation similar to a sunburn, sometimes with a peeling reaction toward the end of treatment.
- Mild to moderate breast swelling.
- Mild tenderness in the breast or chest wall. This will slowly get better over time.
- Mild fatigue that generally gets better a month or two after treatment ends. Many of these side effects can be controlled with medications. Tell your doctor or nurse if you experience any discomfort so they can help you feel better. After the short-term side effects of radiation therapy resolve, others may become noticeable months or years later.
- Breast firmness or mild shrinkage.
- Change in skin tone, rarely with fine blood vessels present.
- Scarring of a small part of the lung just under the breast. Generally, no side effects are noticed but rarely it may cause a dry cough or shortness of breath that is treatable.
- Mild decreased range of motion.
- Hand or arm swelling, called lymphedema, can occur but depends upon the extent of surgery and radiation.
- Heart injury is rare with modern treatment techniques for left-sided breast cancers.

Rarely, new tumors can be caused by radiation, but in breast cancer the benefits of treatment should outweigh the risks. Many factors affect your risk for these side effects.
Please talk to your radiation oncologist to learn more about how likely these side effects may be for you.
The following UCLA Radiation Oncologists specialize in treatment of breast cancer:

Susan A. McCloskey, MD, MSHS

John V. Hegde, MD
